When treating the tongue means healing the whole child.
The Hidden Struggle Behind Unclear Words
It wasn’t just her speech — it was her confidence fading away.
At 12 years old, Anamika Singh should have been full of laughter, questions, and stories.
But her parents noticed something was holding her back. Her words weren’t clear, her breath often carried an unpleasant odor despite regular brushing, and her teeth seemed to grow more misaligned each year.
They visited multiple doctors, tried mouthwashes, speech therapy apps, and even dietary changes — yet nothing worked.
“It’s not just her speech,” her mother said softly. “It’s her confidence that’s fading.”
Each night ended with reminders to “speak slowly” and “brush again,” but deep down, her parents knew — something deeper was wrong.
Finding the Root Cause
A simple discovery that changed everything.
When Anamika visited our clinic, we started with a complete functional and structural evaluation — because real healing starts with understanding the why.
Our findings were clear:
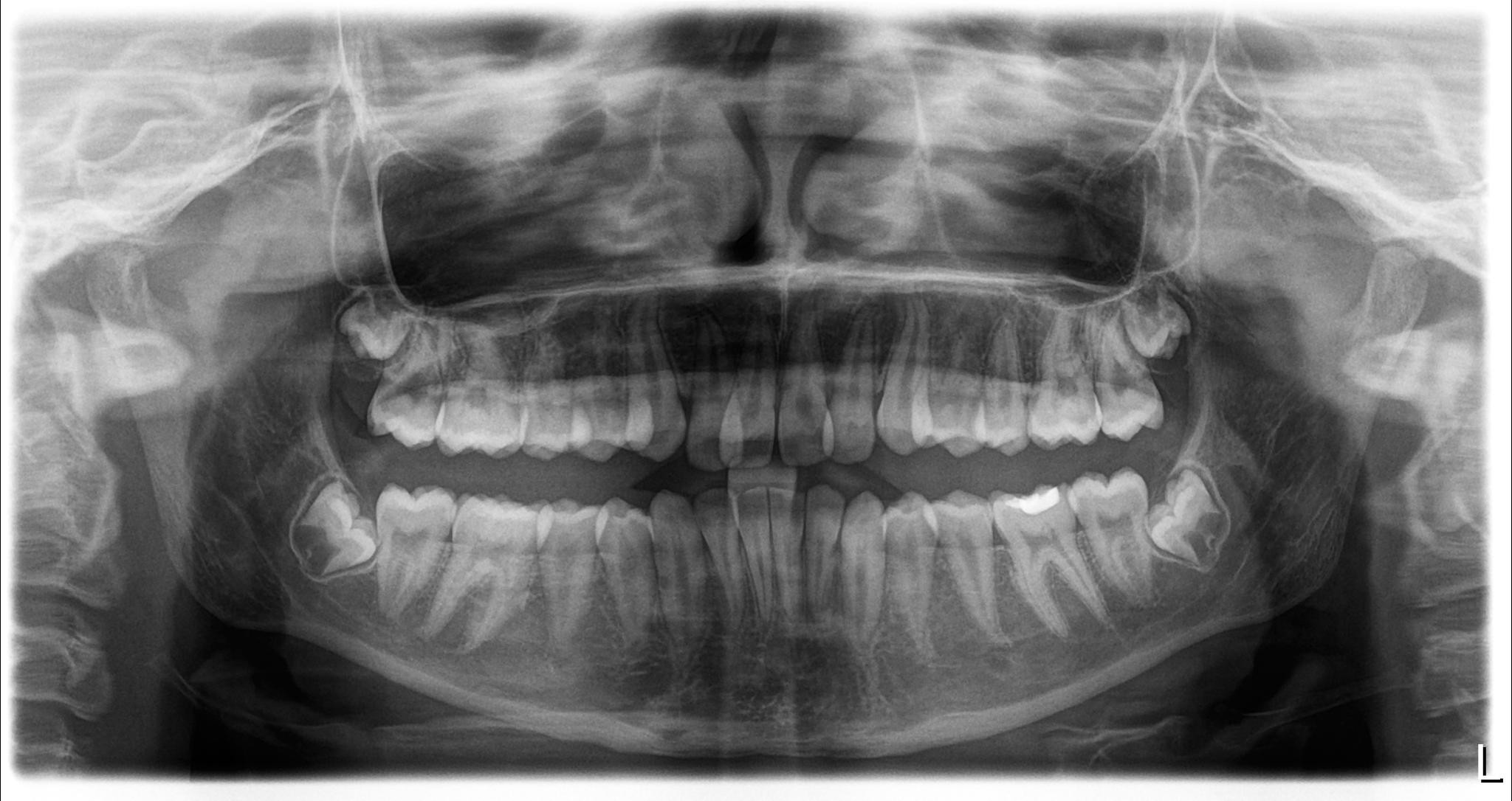
- A tongue tie (ankyloglossia) restricting her tongue’s natural movement
- Mouth breathing and poor tongue posture
- Open bite and crowding from long-term oral muscle imbalance
Her tongue couldn’t rest against her palate properly — disrupting not just speech, but breathing, growth, and oral hygiene. The bad breath wasn’t just about cleanliness; it was about improper muscle function.
This wasn’t just a dental issue — it was a functional disorder affecting her speech, confidence, and development.
A Gentle Approach to Healing
Function first — structure follows.
We began her journey with a custom myofunctional therapy program, retraining her tongue, lips, and orofacial muscles to regain strength and coordination.
Once her muscle control improved, a tongue-tie release procedure (frenectomy) was performed under guided precision.
Post-release, therapy continued — ensuring her new mobility translated into long-term function, clarity, and confidence.
Within months:
✅ Speech clarity improved
✅ Her breath was fresher
✅ Her smile was freer
“She no longer hides her mouth when speaking,” her mother shared. “She’s finally proud of her words.”

The Turning Point
From silence to self-expression.
At the end of 14 months, her transformation was remarkable.
Her bite was corrected through orthodontic alignment, her oral posture balanced, and her speech became clear and confident.
The moment that sealed her recovery?
She stood on stage at her school storytelling competition, spoke every word with pride, and came home with a certificate in hand.
“For years, we only prayed that our child could speak freely and smile confidently,” said her mother, tears in her eyes.
“You didn’t just treat her — you gave her voice back.”
Healing That Goes Beyond the Tongue
Because the tongue connects more than words — it connects lives.
Many parents think bad breath or unclear speech is “just a phase.” But often, these are early signs of functional oral imbalance.
Anamika’s journey shows the power of identifying root causes — not just treating symptoms.
When function is restored, growth follows — in posture, confidence, and life itself.
Healing Beyond Tongue Tie: A Clinical Perspective
A functional approach to restoring clarity, confidence, and connection.
“It Wasn’t Just Her Speech — It Was Her Life.”
Patient: Anamika Singh
Age/Sex: 12 years / Female
Primary Concerns: Speech difficulty, halitosis, malaligned teeth, low confidence
Clinical Evaluation
- Restricted tongue mobility (ankyloglossia)
- Poor oral muscle tone and coordination
- Mouth breathing pattern with low tongue posture
- Open bite and anterior dental crowding
- Oral hygiene difficulty causing halitosis
Diagnosis:
Functional Oral Disorder secondary to tongue tie and orofacial myofunctional dysfunction.
Phase-Wise Treatment Plan
Phase I — Myofunctional Therapy
Goal: Strengthen and coordinate orofacial muscles.
- Targeted tongue and lip exercises
- Nasal breathing retraining
- Posture correction for resting tongue position
Phase II — Tongue-Tie Release (Frenectomy)
Goal: Restore mobility for functional speech and swallowing.
- Minimally invasive frenectomy under magnification
- Immediate post-op stretching and guided movement therapy
Phase III — Post-Release Reinforcement & Orthodontics
Goal: Support structural balance and prevent relapse.
- Continued myofunctional training
- Orthodontic correction for open bite and crowding
- Periodic progress assessments
Outcome
After 14 months:
✅ Speech clarity and pronunciation normalized
✅ Breath odor resolved completely
✅ Tongue mobility and posture restored
✅ Orthodontic alignment achieved
✅ Child regained confidence and social comfort
Final Reflection: Beyond Function — Towards Wholeness
When we heal movement, we heal meaning.
Anamika’s case is a reminder that the tongue is more than a muscle — it’s central to breathing, growth, speech, and self-expression.
Through a careful, step-by-step, functional approach, her journey shows what’s possible when we treat the cause — not just the consequence.
She didn’t just learn to speak better.
She learned to believe in her own voice.
Your Child’s Voice Matters
If your child struggles with unclear speech, mouth breathing, or low confidence — don’t wait for them to “grow out of it.”
Every word, every breath, every smile counts.
Help them find their voice again — because healing starts with listening.